超音波診断における凹凸部や表層部の画像取得の課題へアプローチ。
従来の軟質ゼリーの代替材料。
超音波診断では、凹凸のある体表面や表層部分を観察する場合において画像の抽出が困難となっています。超音波診断用「エコーゲルパッド」を従来の軟質ゼリーに置き換えて使用することにより、凹凸部位や表在部位を明確に描出し、アーチファクトのない画像抽出が可能です。
整形外科、形成外科、口腔外科など多くの診療分野にご採用いただいております。
また、工業用非破壊検査分野においては、水などを使用せずに検査が可能になるため応用が拡がっています。
八十島プロシードは、超音波診断用「エコーゲルパッド」を分子設計、配合調整、成型まで一貫して自社で実施。用途に合わせたオーダーメイドの形状の設計・成型のご相談にも応じます。
基本物性は以下をご参照下さい。必要に応じ、硬度の数値をカスタマイズすることが可能です。
エコーゲルパッド
従来のジェル


| エコーゲルパッド | EP-S-05(5mm) |
| 診断装置 | コニカミノルタ社製 SONIMAGE HS2 |
| プローブ | L18-4 |
監修 わだ整形外科クリニック 和田誠先生
エコーゲルパッドで凹部の描出


| エコーゲルパッド | EP-S-10(10mm) |
| 診断装置 | コニカミノルタ社製 SONIMAGE HS2 |
| プローブ | L18-4 |
監修 わだ整形外科クリニック 和田誠先生


| エコーゲルパッド | EP-S-05(5mm) |
| 診断装置 | コニカミノルタ社製 SONIMAGE HS2 |
| プローブ | L18-4 |
監修 わだ整形外科クリニック 和田誠先生
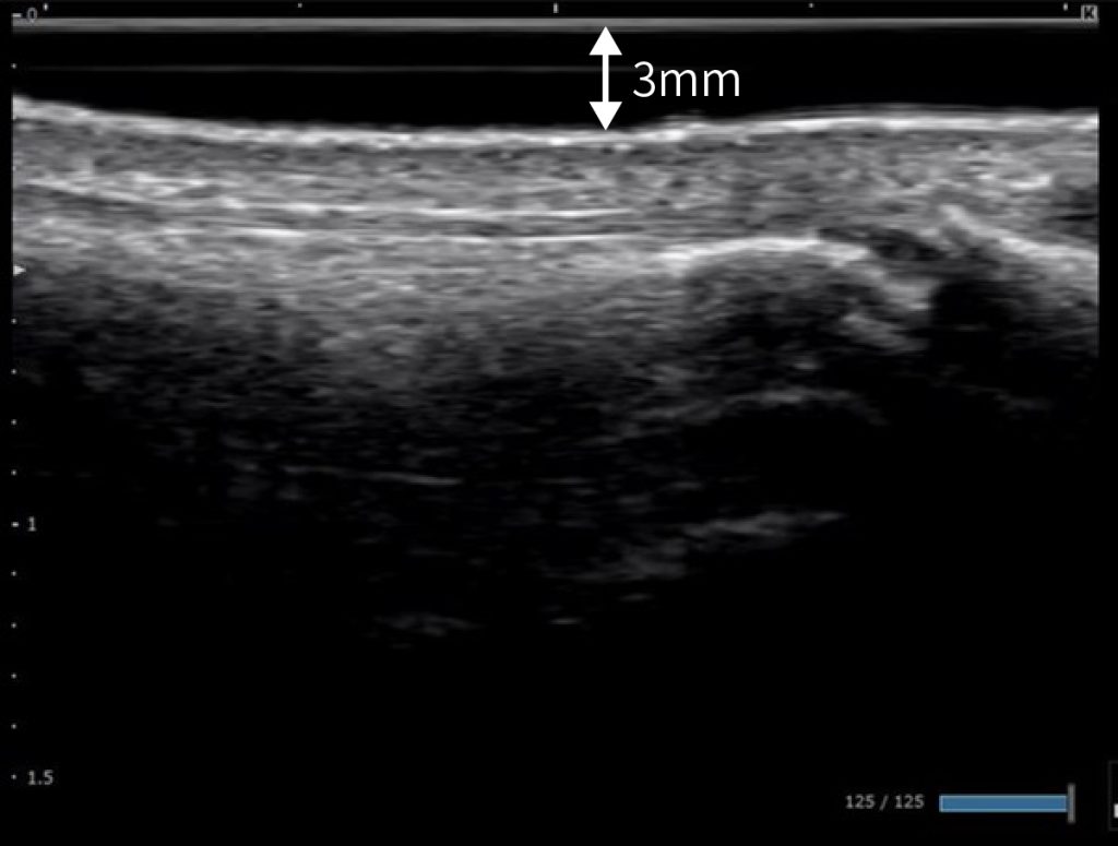
エコーゲルパッドの厚みによる浅層focusの最適化



| エコーゲルパッド | EP-S-03(3mm) EP-S-05(5mm) |
| 診断装置 | コニカミノルタ社製 SONIMAGE HS2 |
| プローブ | L18-4 |
監修 わだ整形外科クリニック 和田誠先生
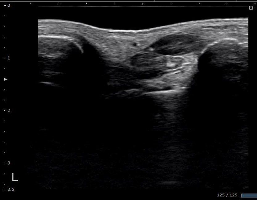
エコーゲルパッドで凸部の描出



| エコーゲルパッド | EP-S-05(5mm) |
| 診断装置 | コニカミノルタ社製 SONIMAGE HS2 |
| プローブ | L18-4 |
監修 わだ整形外科クリニック 和田誠先生
整形外科、形成外科、乳腺外科、リハビリテーション、動物医療など、多数の分野で採用いただいております。
事例にない用途でのご検討や、ご不明な点はお問合せください。
| 100×100×3mm | 1個 | (品番:EP-S-03) |
|---|---|---|
| 100×100×5mm | 1個 | (品番:EP-S-05) |
| 100×100×10mm | 1個 | (品番:EP-S-10) |
| 100×100×20mm | 1個 | (品番:EP-S-20) |
| 100×100×30mm | 1個 | (品番:EP-S-30) |
※価格はサイズに関係なく一律です。
※観察部位と厚みの関係についてはQ&Aをご覧ください。
販売は以下、帝人メディカルテクノロジー株式会社へお問い合わせください。
片面にフィルムを配置し、強度と摺動性を向上させました。
(製品詳細についてはお問い合わせください。)
| 100×50×3mm | 2個一式 | (品番:EP-F-03) |
|---|
※上記以外の特注形状も製作可能です。お問い合わせください。
材質:セグメント化ポリウレタンゲル(SPUG)
| 基本物性(測定温度:20°C) | |
|---|---|
| 音速 | 1,389 (m/s) |
| 密度 | 1,020 (kg/m3) |
| 音響インピーダンス | 1.42×106(Pa・s/m) |
| 硬度(アスカーF硬度計) | 53 |
| 減衰係数 (5MHz時) | 3.5 (dB/cm) |
エコーゲルパッド EP-Sシリーズの生体適合性
ISO10993「医療機器の生物学的安全性評価」に適合 (細胞毒性、感作性、皮内反応)
免責事項